Nuestros servicios.
-

Endodoncia
La endodoncia es una especialidad de la odontología que se centra en el diagnóstico y tratamiento de enfermedades de la pulpa dental y los tejidos periapicales. Su principal procedimiento es la terapia de conducto, que consiste en limpiar y sellar los conductos radiculares afectados. Esto se realiza para eliminar el dolor y conservar el diente natural. La endodoncia es esencial para prevenir complicaciones más serias y mantener la salud dental a largo plazo.
-

Retratamientos
Gonzaga Zabalegui ofrece la posibilidad de realizar un nuevo tratamiento de conductos en dientes que ya han sido sometidos a endodoncia previa. Este procedimiento se lleva a cabo con el uso de un microscopio, asegurando una visión detallada y un enfoque meticuloso. Su experiencia permite abordar complicaciones y mejorar la salud dental del paciente.
-

Apice Abierto
También ofrecemos tratamiento para los dientes permanentes jóvenes con desarrollo radicular incompleto. Esto puede ser un desafío para algunos odontólogos, pero contamos con la capacitación y experiencia necesarias para abordarlo eficazmente. Utilizamos técnicas especializadas y un seguimiento riguroso para asegurar la evolución del diente y minimizar riesgos.
-

Traumatología Dental
Si ha sufrido un traumatismo y se ha fracturado los dientes o los huesos de la mandíbula, es fundamental que solicite cita con nosotros de inmediato. Nuestro equipo está especializado en la atención de lesiones dentales y maxilofaciales, y podemos ofrecerle el tratamiento necesario para preservar sus dientes y asegurar una correcta recuperación de su maxilar y mandíbula. No espere a que la situación empeore; actúe con prontitud para maximizar las posibilidades de salvar sus dientes.
-
Microcirugía Endodontica
En ciertos casos, es necesario abordar problemas pulpares o infecciones mediante una microcirugía a través de la encía. Esta intervención permite tratar situaciones más complejas que podrían comprometer el pronóstico del diente.
La microcirugía endodóntica se realiza con técnicas mínimamente invasivas, lo que mejora la recuperación del paciente. Durante este procedimiento, se puede acceder a la raíz del diente afectado, permitiendo limpiar infecciones y sellar el diente.
-

Limas Separadas
Gonzaga Zabalegui ofrece soluciones efectivas para los casos en los que una lima se ha separado durante un tratamiento de endodoncia. Con su experiencia, puede recuperar la lima y asegurar un tratamiento adecuado del diente afectado. Esto mejora significativamente el pronóstico a medio y largo plazo, favoreciendo la salud dental del paciente.
-

Radiodiagnóstico y Microscopio
Todos nuestros tratamientos están realizados con Microscopio.
Tenemos la más alta tecnología de radiodiagnóstico.
Nuestro CBCT consigue alta resolución para la odontología multidisciplinar, Endodoncia, Implantología, Ortodoncia, Cirugía Maxilofacial.
-

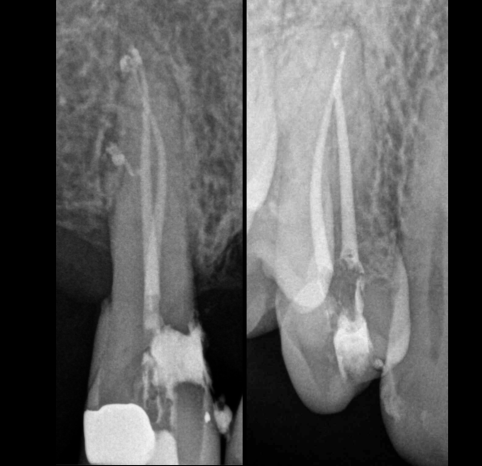
Generamos Hueso
Generamos hueso sin cirugía.
El tratamiento de conductos consigue regenerar el hueso perdido y con ello salvamos el diente del paciente.
-
Cursos de Endodoncia
Formamos a odontólogos con nuestros cursos de Endodoncia Avanzada de 9 meses.
Nuestros alumnos de experto en endodoncia son capaces de diagnosticar casos complejos, así como manejar y tratar casos que suponen un reto tal y como son los retratamientos, ápice abierto, cirugía endodóntica, traumatología dental…
Nuestros alumnos consiguen sólidos conocimientos en el área interdisciplinar aprendiendo a manejar casos Endo-Perio, Orto-Endo o con el cirujano maxilofacial.

